


La Briller(ラブリエ)とは

La Briller(ラブリエ)は、白く美しいセラミックのベニアを、付け爪をするように歯の表面に貼り付け、歯の形や色をキレイに見せることができる審美歯科治療法です。
従来から行われている同様の治療法として、「ラミネートベニア」という治療法がありますが、この方法では、強度を確保するために十分な厚さが必要となるため、その分健康な歯を削らなければならないというデメリットがあります。
La Briller(ラブリエ)は、歯を一切削らず、強度に優れた極薄のセラミックを歯の表面に貼り付けることで、歯の見た目のお悩みを気軽に解決することができます。
こんな方にオススメ
上記に当てはまる歯の場合、La Briller(ラブリエ)でお悩みを解決できる可能性があります。
詳しくは一度、歯科医師にご相談ください。
詳しくは一度、歯科医師にご相談ください。
ラミネートベニアとの違い

歯の表面を削り、その上に0.5〜0.7ミリの厚さのセラミックを貼り付けます。
歯を削るので、人によっては知覚過敏の症状が出ることがあります。
一度貼り付けると外すことはできません。
歯を削るので、人によっては知覚過敏の症状が出ることがあります。
一度貼り付けると外すことはできません。

強度に優れたセラミックを使用することで、歯を削らず、0.04〜0.08ミリ〜程度の厚さのセラミックでも見た目を改善できます。
歯を削らないので、知覚過敏症状も出ませんし、外すことも可能です。
歯を削らないので、知覚過敏症状も出ませんし、外すことも可能です。
歯を削らない

La Briller(ラブリエ)では、強度に優れたセラミックを使用するため、基本的に歯を削らずに治療が可能です。(歯の状態によっては多少歯を削ることもあります)
そのため、歯を削ることに抵抗のある方でも気軽に治療を受けていただくことができます。
そのため、歯を削ることに抵抗のある方でも気軽に治療を受けていただくことができます。
薄く、違和感がない

歯に貼り付けるセラミックは0.04〜0.08ミリ〜と非常に薄いながらも、満足のいく強度と審美性が得られるため、つけていても違和感がありません。
あらゆる見た目のお悩みを解決

歯の色のお悩みだけでなく、歯の形、向き、ねじれ、すきっ歯、歯並びのお悩みにも対応が可能です。
むし歯や歯周病のリスクを高めない

歯を削らないので歯が弱くならず、むし歯のリスクを高めません。また、使用するセラミック素材は傷がつきにくいためプラークを寄せ付けにくく、歯周病のリスクも高めることがありません。
最短2回の通院で治療完了

La Briller(ラブリエ)のセラミックチップは、基本的に1度目に型取り、2回目に貼り付けの2ステップで終了しますので、忙しくてなかなか通院できない、とにかく早く見た目をキレイにしたいという方にもピッタリです。
他の治療法との比較

La Briller(ラ ブリエ)の症例
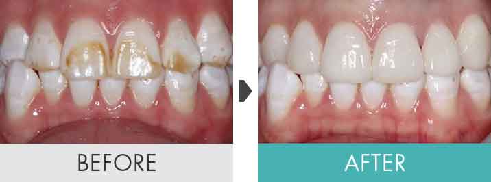
症例1

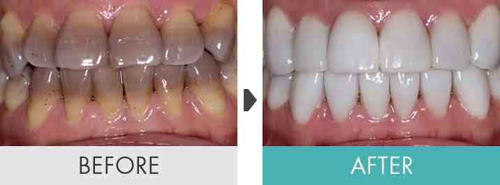
症例2

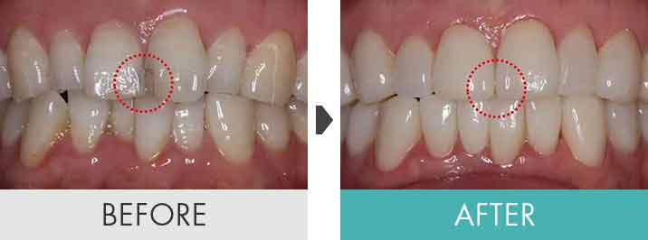
症例3

症例4

症例5

症例6

症例7

症例8




